The Remarkable Tale of Frankie the Bear...

On July 24, 2012, a young wild black bear was brought to us. He had been hit by a car, was paralyzed, in a coma, and had a badly broken leg.  

 

The story of his recovery is both amazing and inspiring. Everyone who was involved in helping him was taken in by his incredible determination. His ability to overcome a terrible situation and accept a lifestyle that was totally different than anything he had ever known has been remarkable.

 

He was in a coma for three days. When he finally woke up on the fourth day, he was paralyzed. He could only blink his eyes and move his mouth. It did not look good for him. We began feeding him baby food and raw eggs through a syringe. His legs were stiff and his head was limp.  

But on the sixth day he began to move one hind leg!  By day seven there was slight movement in head and arms.

Because of the severity of his injuries, we decided on the first day that if things were not better after one week we would put him to sleep. Well after one week, of course, we had fallen in love with him and putting him to sleep was no longer an option. So we decided to keep trying. If he was ever going to get better, he needed a name. We started calling him Frankie. That day he started eating solid food. He could slide his head up and down while lying on his side.  We began physical and massage therapy on him.

By the ninth day he had a good appetite. He was able to hold his head up to eat chicken hearts and livers, which was his favorite food at that time. I put my finger in his ear (bears hate that) and he was able to shake his head. The following day our veterinarian began laser therapy on him. His badly broken leg was still not set. She felt he was not strong enough to be put under anesthesia.

 

He usually laid on his back. By the eleventh day, he could raise his front arm up four inches then press his hand down and raise his shoulder up. By the next day, he could raise his arm all the way up, cross it over his chest, and roll himself over. He started to pull himself around his small enclosure. He was making a lot of progress.

 

The video below shows the very first time Frankie moved.  It was absolutely miraculous to see. It gave us all hope that he could indeed be saved and was fighting to live. The video is sad to see, but also joyous and exhilarating as it meant so much to see him move! We knew he had a chance and that he was a fighter!

During these first two weeks we fed him all of his food by hand. We spent a great deal of time flexing, extending and massaging his limbs. We also worked on improving the range of motion in his head, neck, feet, and toes. At no time did he ever try to bite us. He never got mad and was never afraid.

 

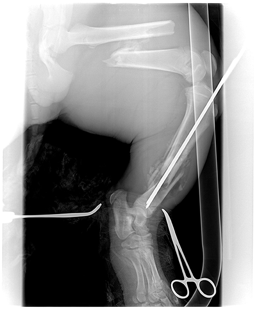
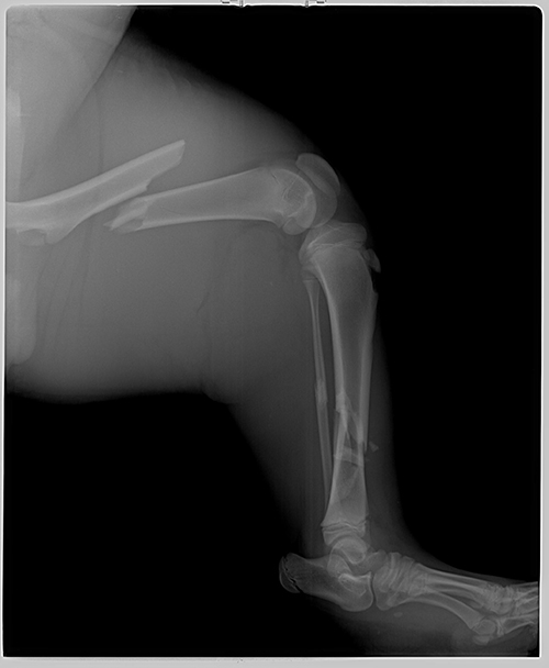
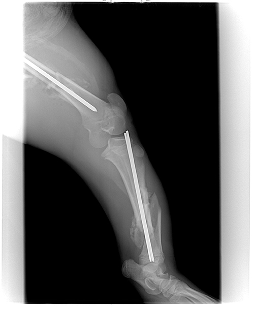
By day 14 our veterinarian felt he was strong enough to set his leg. Both large bones in his left hind leg were badly broken (see pictures above). The operation took almost five hours. She put rods through the center of the bones. It was a very big job, but everything went well.

 

By nature, bears are active and inquisitive.  A big concern was that Frank was quite capable of pulling his stitches out.  Even worse, if he did not keep his leg still for at least six weeks, the bones would not heal.

 

We kept him in a small enclosure to limit his movement.  

 

He lay on a bed of quilts and had a pillow for his head. Our washer and dryer ran 24 hours a day. He loved his quilts and never destroyed them. It is hard to believe that a wild bear would accept being kept in a small area, and kept on a bed of quilts, but he did. He seemed to be grateful for all the help he was receiving. At no time did he give the impression that he was unhappy with his surroundings.

 

It was amazing that a wild bear could become so trusting of humans! He actually enjoyed our company.

 

In the days after the operation, he became stronger and more coordinated. He slowly regained the use of all his limbs. Frank was able to sit for a good part of the day and he was even able to scratch his head with his good hind foot!    

 

His progress was both good and bad. He needed to stay off his broken leg in order for it to heal. One week after his operation, though, he was strong enough to stand up for the first time. There was no stopping him - but he learned to hobble around without putting pressure on his bad leg.

 

For Frank the best part of his recuperation was the menu. He was eating things he never knew existed. Frank loved peanuts and fruit, especially peaches, watermelons, and strawberries.  

 

In the beginning, he liked chicken hearts and livers, but after a while gave them up.  We offered him all types of meat, but he is not a meat eater.  

 

Frank had to take many pills every day for pain and possible infection. We hid them inside jelly donuts. It was all fine with him, so long as there was plenty of jelly in the jelly donuts. If he tasted the pill, he would be so offended! He would open his mouth as wide as he could and leave it open for five minutes, so as a result, we made sure to always have extra jelly for the jelly donuts!  

 

In the early days, we used a syringe to give him water, but after one week he would not take it that way anymore. Although he ate a lot of juicy fruits, he never drank water. It was not until day 28 that he first drank water.

 

Two weeks after his operation, it was time for Jim and I to go to our first fair (our resident bears participate in an educational program and we travel with them a few times a year).

Caring for Frank was a constant job.

It was important that nothing went wrong because the leg was very fragile. He needed to be watched all the time. He also needed to be kept on quilts and hospital pads. Everything needed to be kept very clean, and laundry was a huge part of the day.

 

We decided that Jim would not go to the New York State Fair. He stayed home to take care of Frank.

 

During the next two weeks, Jim and Frankie had a chance to bond.

He got his first sponge bath which he loved!

 

On day 33 he was able to scratch his ear with his foot on the broken leg. He was able to get around pretty well without putting unnecessary stress on his bad leg. It is a bear’s true nature to act in ways that in Frank’s case would compromise the successful healing of the leg.

By the time we had to leave for our next fair, five weeks had passed since the operation. The incisions were healed and he no longer had to be kept on quilts. This made caring for him a little easier. It was hard for us to leave Frank but he was doing very well. He had become quite friendly with us and we were afraid he might forget us while we were gone.  We had a small team of volunteers that took good care of him. They came every few hours throughout the day to care for him and spend time with him. We were anxious to return home and see Frank. We were happy to find that he had not forgotten us!

 

Time passed, and Frank’s leg was healing nicely. To keep things as stress-free as possible, he was kept in a separate area away from the other bears. At the end of November, four months after Frank first arrived, we decided to move him to the main part of the barn. Here, he could start to get acquainted with the other bears, while he was still recovering.

 

Because of the extreme amount of human contact he was exposed to, we felt that if we released him back to the wild once the leg was totally healed, he would probably become a problem bear, and so we decided to give him a permanent home. His best chance for a happy life would be if he could live with our girls Maddy, Judy, Jenny, Amy and Sonya. We put him next to the girls so he could get to know them while he was still recovering.

 

Frank accepts everything! He is never afraid and is always in good spirits. He liked the girls right away - although they were a little leery of him.

 

On Jan. 1, 2013, Frank’s veterinarian X-rayed his leg again to see if it had healed properly and to see if the rods needed to be removed. She was very happy with how the leg had healed. She needed to remove only one of the rods. Frank now had only 30 days more to heal from having the rod removed and then he would be able to move in with the girls.  

 

When Frank first came to live with us, he was a skinny little bear that weighed about 80 pounds. Now 4 ½ months later he weighed 206 pounds at two years of age.

All of the challenges that Frank faced thus far are minor compared to what he would now face! Maddy, Judy, Jenny, Amy and Sonya are eight and nine years old and pretty well set in their ways. They are a tightknit group of girls who are not really open to change, though if anyone could be accepted by them it would be Frank.  His incredible determination, good humor, and the ability to make the most out of whatever came his way would be very helpful.

 

On Feb. 1, 2013, we moved the girls out of their section of the barn and moved Frank in. He spent the day investigating everything.  

 

In the winter we give the bears a big bed of hay and they spend a great deal of time sleeping. Frank made himself at home, and at night went to sleep in their bed. The next day we introduced him to Sonya. She is the most levelheaded. At first they were both afraid, but as the day passed they became tolerant of one another. At night they went to sleep in the big bed together!

 

Maddy was introduced the next day. Maddy is pretty carefree. She was more interested in going to sleep, so she did. About a half-hour later Frank joined her. He was not afraid of anything. To lie down and go to sleep next to a bear that is 200 pounds heavier than you, especially one you just met, takes a lot of courage.  We let the three of them get to know each other for a few days.

 

Judy was the next bear to be introduced to Frank.  Judy is the motherly type and is never afraid to stand up for her beliefs. However she was shy when it came to meeting Frank and tried to draw as little attention to herself as possible.

 

Now it was Jenny and Amy’s turn. If anyone would have a problem with Frank, it would be them.  

 

By this time, though, they were so jealous that they were not a part of the group that they decided not to be a problem. When Amy first came in, Frank curled up in a little ball and went to sleep. Amy walked up to him; he picked up his head, took one look at her, then curled his head back under himself and went back to sleep.

 

Meeting girls had become commonplace!

 

Miraculously, in one week Frank was settled in with all five girls. They were all comfortable enough with one another to all sleep in the bed. Frank was usually right in the middle. For someone who was probably born under a stump in the middle of the forest and never slept on anything but the cold hard ground, Frank certainly had a fondness for a soft bed. Sleeping on the quilts for all those weeks probably spoiled him.

Although the girls are quite a bit larger, he had just enough courage to stand up to them and earn their respect. His courage, along with his boyish charm, got him accepted into the group. For a bear with no experience, or social skills, that was quite an accomplishment.

 

Bears love wrestling with one another, and on Feb. 24, Sonya could no longer control herself. She initiated the first wrestling match with Frank. It was a little awkward. He didn’t really know what to do but it was the start of something great. It did not take long before Frank was a master at wrestling. There are two types of bears when it comes to wrestling, those who do it for the sheer joy of wrestling like Sonya, Maddy and Frank, and those who must win at all costs like Jenny and Amy. Frank prefers wrestling with girls that don’t have a point to prove. He is like a breath of fresh air for the girls. They play together all day and he feels right at home.  It is like he has always been here.

Frank’s injuries were so severe and his leg was so fragile that it took a long time for his leg to heal and through it all he remained calm. Nothing ever bothered him, he never got mad, and he was never afraid.

 

It is hard to believe that a wild bear could go through all of this.  It is even more amazing that he developed such a wonderful relationship with us and the other bears.

 

Several people played a part in saving Frank.  

 

The man who hit him with his car cared enough to call the police. He  could have just driven away.  

 

The policeman could have just put him out of his misery but instead found help for him.  

 

His veterinarian offered her time and talent, and without her he would not have made it.

 

Our family and friends who stepped in during the summer to lend a hand all played a part in Frank’s recovery.  

 

But Frank made it through this ordeal because of his determination to survive.

 

He accepted his situation and gladly made the most of it. To have been a part of this story and to be able to look forward to seeing him every day and watch him grow truly is a gift from God.

We can not make these kinds of rescues and save these lives without your help.  When you see animals like Frankie playing with the other bears, soaking in ponds and lying on soft piles of hay, you know that their lives are worth saving.

 

Will you please consider a donation to help support us so that the next Frankie that comes to our door, we can welcome with open arms, be able to afford to care for them, build proper environments for them, and help get them back on their feet?

 

Thank you for your love of our native wildlfe and for believing that their lives are precious.

 

Thank you for your support!